
Experience the difference The Best what Peptide can bring to your skin
 
									 
									
即刻改善皱纹效果

促进胶原蛋白生成及合成
皮肤再生及改善皱纹效果

促进弹性蛋白增加
皮肤再生及弹性改善效果
 
									| 0周 | 12周 | 功效(%) | |
|---|---|---|---|
| 其他公司HA填充物 |  | 44.73% (  ) | |
| ReGENIN®填充物 |  | 55.49% (  ) | |
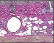
对于皮肤皱纹模型SKH1鼠注入ReGENIN®填充物12周后,评价改善皱纹效果的结果,与其他公司HA填充物(44.73%)相比,ReGENIN®填充物注入组(55.49%)可确认优秀的改善皱纹效果
| 注入前 | 0周 | 4周 | 12周 | |
|---|---|---|---|---|
| 正常组 |  |  |  | |
| 对照组 |  |  |  | |
| 其他公司HA填充物 |  |  |  |  | 
| ReGENIN® 填充物 |  |  |  |  | 
对于皮肤皱纹模型SKH1鼠注入ReGENIN®填充物12周后,评价改善皱纹效果的结果,与其他公司HA填充物(44.73%)相比,ReGENIN®填充物注入组(55.49%)可确认优秀的改善皱纹效果
| 正常组 | 对照组 | 其他公司HA填充物 | ReGENIN® 填充物 | |
|---|---|---|---|---|
| 皮肤支撑 |  |  |  |  | 
| 弹性蛋白 |  |  |  |  | 
