
Beyond peptide cocktail : next level Regeneration from inside
 
									 
									
Immediate wrinkle improvement effect

Promotes collagen biosynthesis
Skin regeneration and wrinkle improvement effects

Promotes elastin growth
Skin regeneration and elasticity improvement effects
 
									| 0 Week | 12 Weeks | Efficacy (%) | |
|---|---|---|---|
| 3rd Party HA Filler |  | 44.73% (  ) | |
| ReGENIN® Filler |  | 55.49% (  ) | |
The wrinkle improvement effect results 12 weeks after injecting the ReGENIN® Filler in the Skin Wrinkle Model SKH1 mouse. The excellent wrinkle improvement effect of the group that was injected with the ReGENIN® Filler (55.49%) was confirmed compared to the group that used the 3rd party HA filler (44.73%)
| Before the Injection | 0 Weeks | 4 Weeks | 12 Weeks | |
|---|---|---|---|---|
| Normal Group |  |  |  | |
| Control Group |  |  |  | |
| 3rd Party HA Filler |  |  |  |  | 
| ReGENIN® Filler |  |  |  |  | 
Wrinkle improvement long-term duration effect results after injecting the ReGENIN® Filler in the Skin Wrinkle Model SKH1 mouse. The long-term duration effect, in which wrinkles did not reoccur even after 12 weeks, was confirmed for the group injected with the ReGENIN® Filler compared to the Control Group and the group that used the 3rd party HA filler in which wrinkles reoccurred within 4 weeks.
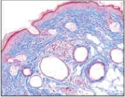
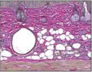
| Normal Group | Control Group | 3rd Party HA Filler | ReGENIN® Filler | |
|---|---|---|---|---|
| Collagen |  |  |  |  | 
| Elastin |  |  |  |  | 
